7旬老人多个脏器有肿瘤 长沙专家11小时“抽丝剥茧”切瘤保胃
长沙晚报掌上长沙1月5日讯(全媒体记者 杨云龙 通讯员 梁辉 肖鹏飞)七旬老人19年前因为十二指肠憩室、胆总管和胆囊结石做了手术,胃被切除75%,近日体检发现胰腺体尾部肿瘤,肿瘤侵犯多支重要血管和多个脏器。手术既要完整切除肿瘤和累及的血管、脏器,又要保护唯一完好的胃供血动脉,还要将患者仅剩的25%的胃切除60%。“肝胆湘军”湖南省人民医院肝胆医院专家团队为患者成功施行这例“三高”(高难度、高风险、高水平)手术,国内外未见同类手术的报道,创造了医学奇迹,患者也于今日康复出院。

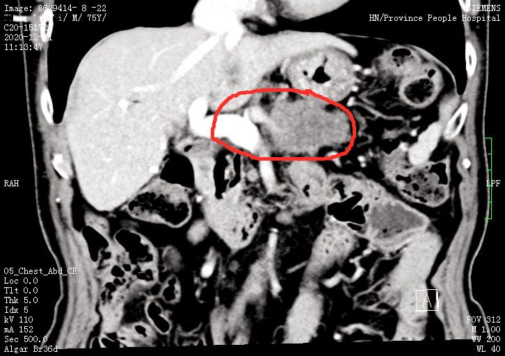
75岁的张先生在海南工作多年后退休,2020年8月体检发现肿瘤标志物增高,经检查发现“胰腺体尾部肿瘤”。肿瘤不仅侵犯了门静脉、肠系膜上静脉等重要血管,还累及胃后壁、空肠桥袢等脏器;加上患者19年前因为胆总管及胆囊结石、十二指肠憩室做过腹部大手术,在当地多家医院就诊,得到的答复都是“手术难度和风险极大”。在当地医院的建议下,张先生于2020年12月9日来到湖南省人民医院肝胆医院就诊,并住进胰脾外科病房。

胰脾外科主任成伟教授邀请首席专家吴金术教授及肝胆医院院长陈梅福教授多次会诊,他们一致认为手术具有很大难度:患者75岁高龄,曾经做过胆囊切除、胆道探查、胆总管十二指肠吻合、胃大部分切除、胃空肠吻合术,解剖结构紊乱,术中粘连也会很严重;胃肠吻合口及结肠中动脉横跨在肿瘤前方,手术操作空间狭小,要在胃左动脉和十二指肠形成的狭缝中“抽丝剥茧”游离受累血管,并进行血管切除和吻合;门静脉、肠系膜上静脉、肠系膜上动脉、脾静脉、脾动脉、胃左动脉等多支重要血管都被肿瘤侵犯;空肠和胃受累,加上患者上次手术切除大部分胃以后,只剩下胃左动脉一条胃供血动脉。因此,此次手术既要切除胃部病灶,又不能损伤胃左动脉,否则患者的胃将不保。
经过认真讨论并制定周密的手术方案,吴金术教授、陈梅福教授、成伟教授、肖鹏飞医师组成的手术团队,成功为患者切除一个约5厘米×6厘米、网球大小的胰腺肿瘤,并给予肠粘连松解、胃部分切除、胃空肠吻合重建、肠系膜上静脉门静脉楔形切除重建、胰腺肿物活检、胰体尾切除、脾切除、左肾上腺部分切除+淋巴结活检、胃造瘘、十二指肠造瘘、空肠造瘘。
为保证手术安全及手术进度,81岁的吴金术教授全程参与手术,陈梅福教授、成伟主任11个小时没有下台休息、进食。在麻醉科、手术室的密切配合下下,手术团队成功完成手术,创造了医学奇迹。
术后,患者生命体征平稳,恢复顺利,于2021年1月5日康复出院。

>>我要举报
